Smiles by BreatheWell Orthodontics
MISSING LEFT PERMANENT FIRST MOLAR
Comprehensive Orthodontic Treatment - Protraction of Upper Left Second Molar using a Mini-Implant and Braces
UNDERBITE, IMPACTED UPPER RIGHT CANINE AND UNDERSIZED UPPER RIGHT LATERAL INCISOR
Comprehensive Orthodontic Treatment - Facemask and Braces
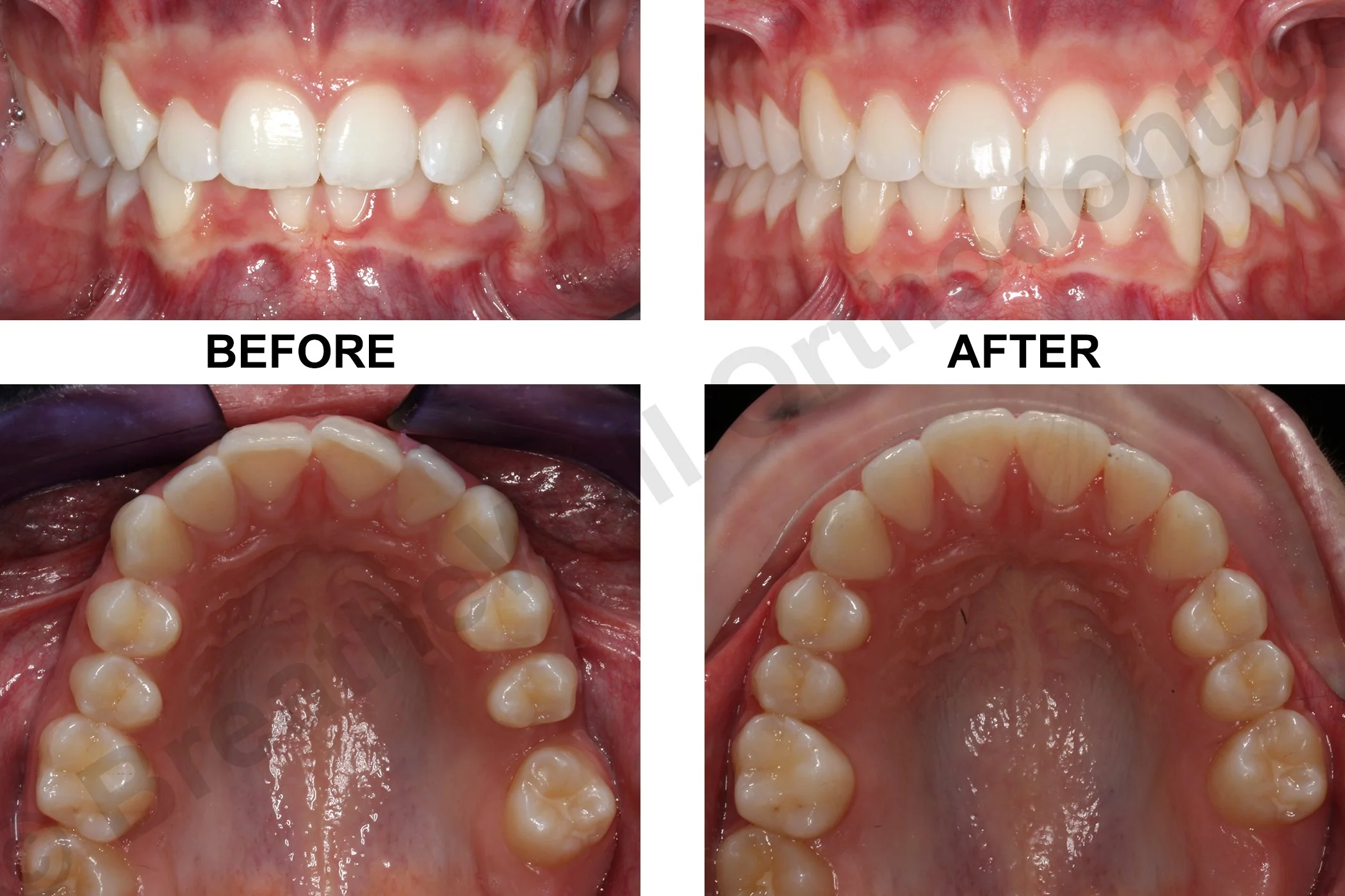
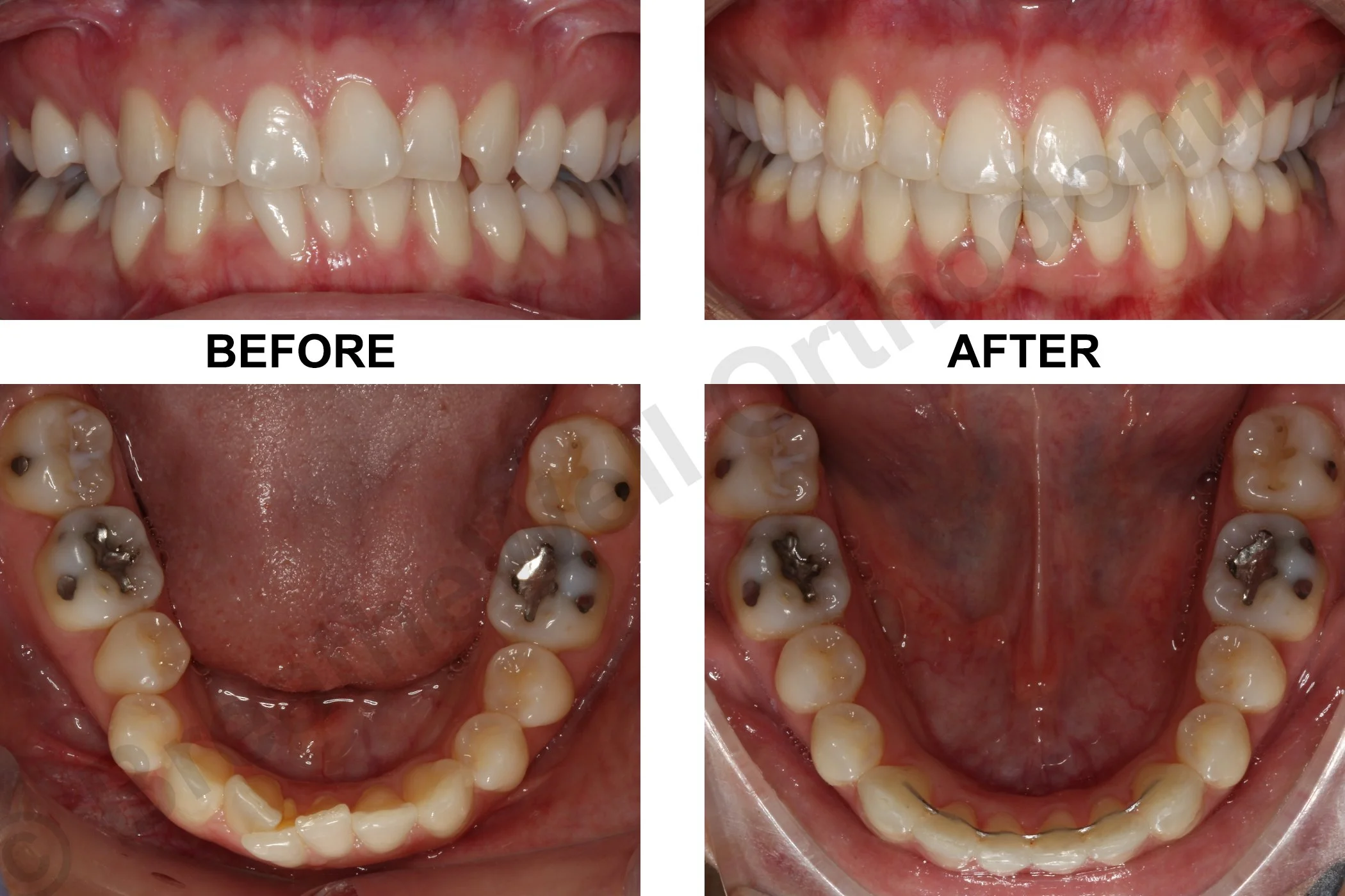
SPACING, OVERJET AND DEEP BITE
Comprehensive Orthodontic Treatment - Braces
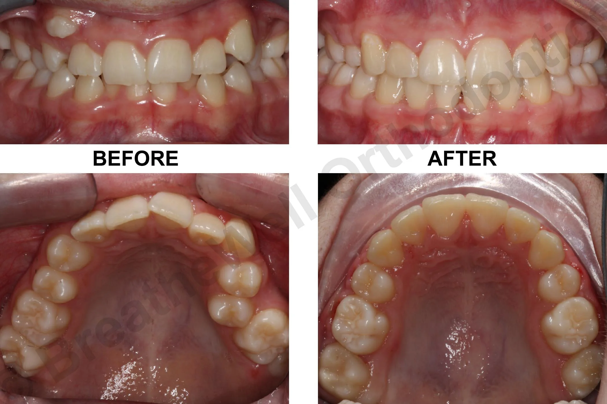
SPACING, TONGUE THRUST, POSTERIOR CROSSBITE AND ANTERIOR CROSSBITE
Comprehensive Orthodontic Treatment - Braces
POSTERIOR CROSSBITE AND ANTERIOR OPENBITE
Surgical Orthodontic Treatment - Two Jaw Surgery and Braces
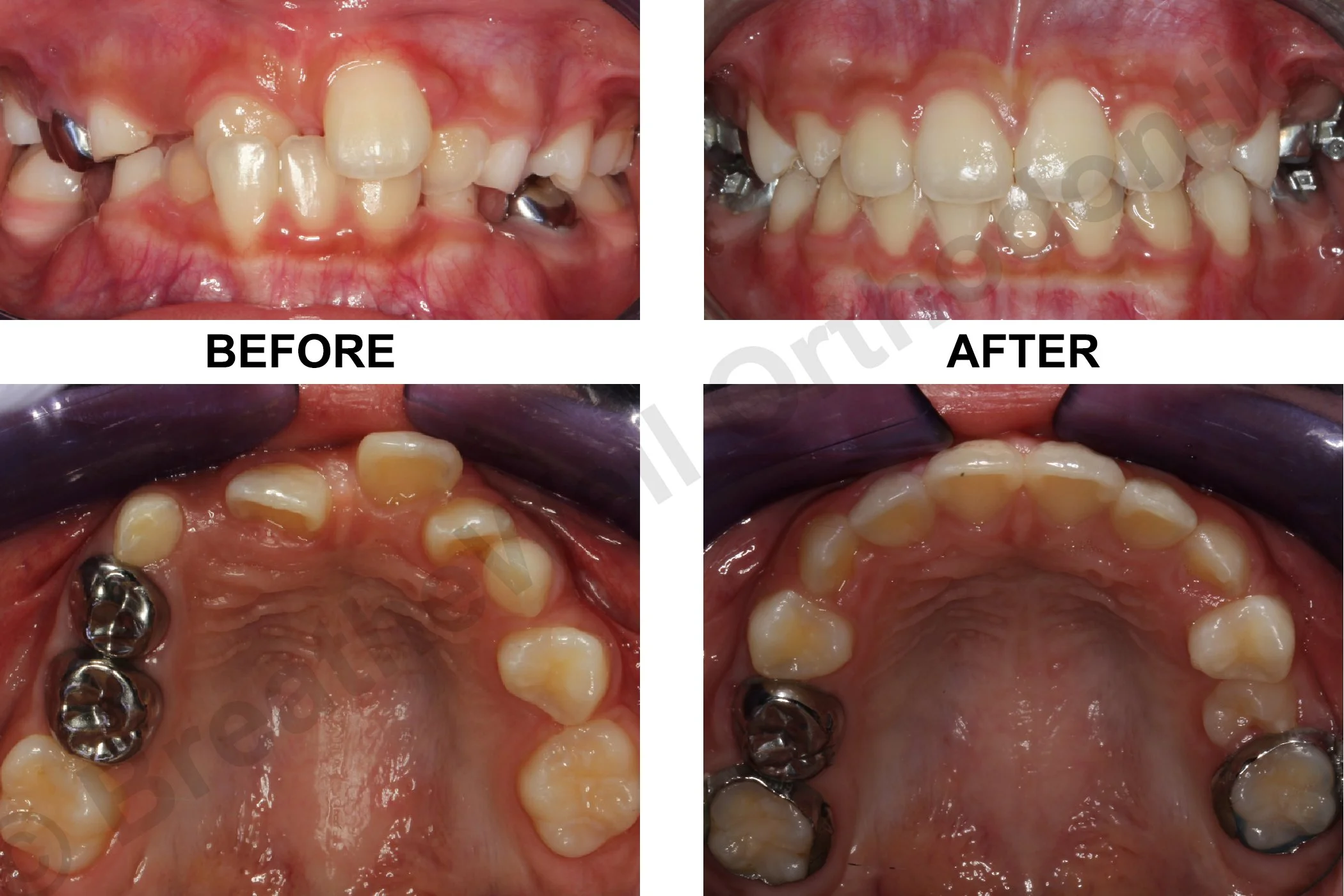
SEVERE CROWDING, OVERJET AND DISPLACED UPPER RIGHT CANINE
Comprehensive Orthodontic Treatment - Extraction and Braces
ASYMMETRY, CROWDING, POSTERIOR CROSSBITE AND GUMMY SMILE
Comprehensive Orthodontic Treatment - Braces and Laser Gum Surgery
SEVERE CROWDING AND ASYMMETRY
Comprehensive Orthodontic Treatment - Non-extraction and Braces
EARLY TREATMENT FOR UNDERBITE
Limited Phase 1 Orthodontic Treatment - Upper Braces Only
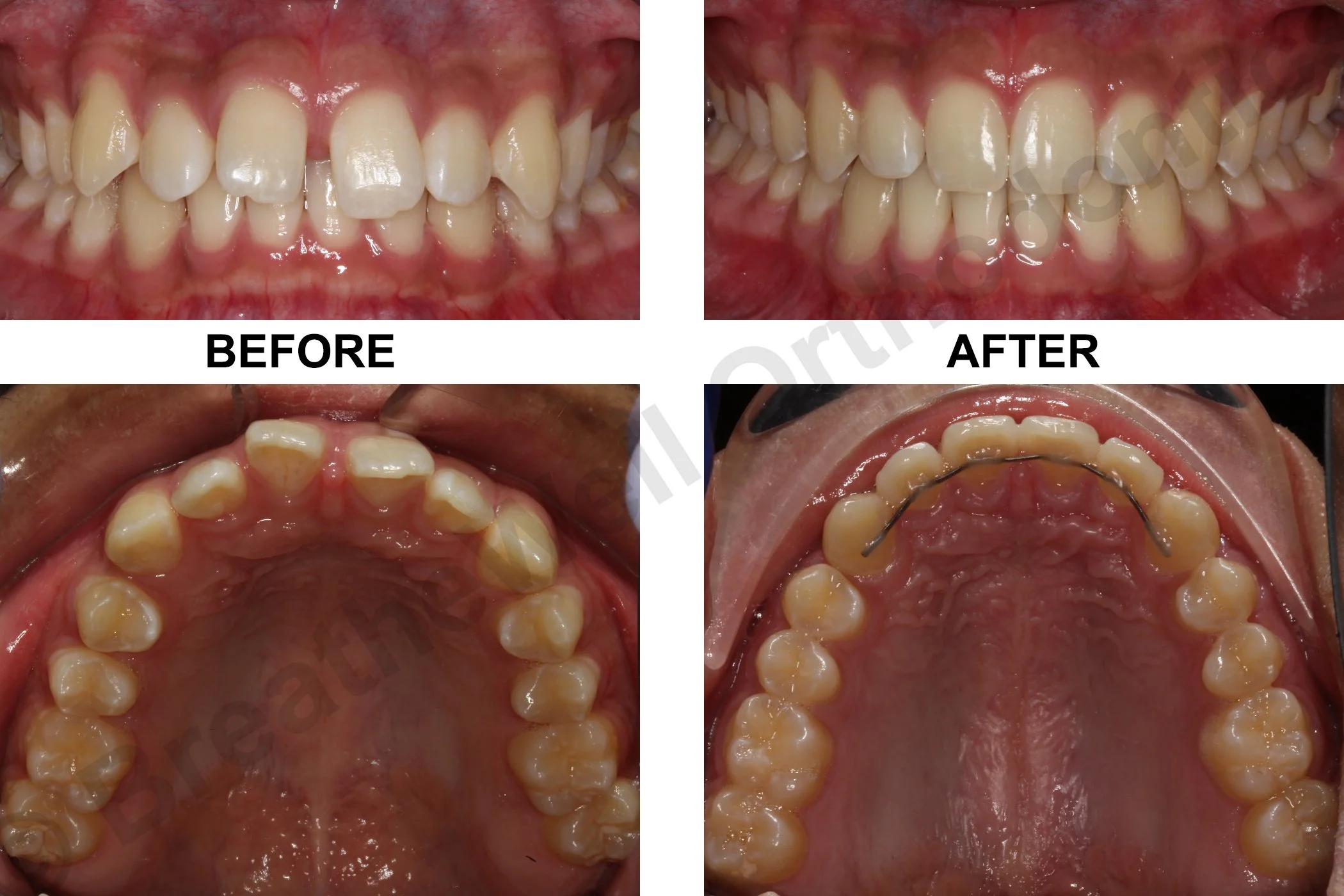
EARLY TREATMENT OF ANTERIOR CROSSBITE AND SPACE MANAGEMENT
Limited Phase 1 Orthodontic Treatment - Upper and Lower Braces
MULTIPLE MISSING TEETH AND RETAINED BABY TEETH
Interdisciplinary Orthodontic Treatment - Implants, Missing Teeth Management and Braces